Orthodontie chez l'adulte :
Tout savoir sur les options et traitements
Corriger ces irrégularités n’est pas seulement une question esthétique ; cela contribue également à une meilleure hygiène bucco-dentaire et prévient les problèmes dentaires à long terme.
Qu’est-ce que l'orthodontie ?
L’orthodontie est une spécialité de la dentisterie focalisée sur le diagnostic, la prévention et le traitement des malocclusions dentaires.
Une malocclusion est une anomalie dans l’alignement des dents et la manière dont les mâchoires se rencontrent lors de la fermeture de la bouche. Ce domaine utilise des techniques spécifiques pour déplacer les dents et modifier la structure de la mâchoire, dans le but de corriger ces irrégularités.
L’objectif de l’orthodontie est de parvenir à un alignement optimal des dents pour améliorer l’esthétique du sourire, la fonctionnalité de la mâchoire, et la santé bucco-dentaire générale.
Voici quelques exemples de cas de malocclusion que l’orthodontie peut traiter :
- Overbite (supraclusion) : Lorsque les dents supérieures recouvrent excessivement les dents inférieures.
- Underbite (sous-occlusion ou prognathie) : L’inverse de l’overbite, où les dents inférieures sont trop en avant par rapport aux dents supérieures.
- Crossbite : Une malocclusion où les dents supérieures se trouvent à l’intérieur des dents inférieures.
- Open bite (béance) : Une ouverture verticale entre les plans d’occlusion des dents antérieures ou postérieures lors de la fermeture des mâchoires.
- Diastema : Des espaces larges entre les dents qui peuvent affecter l’esthétique du sourire.
- Crowding (encombrement) : Un manque d’espace dans la mâchoire qui entraîne un chevauchement des dents.
Pourquoi une distinction entre adulte et enfant ?
Chez les adultes, cependant, les os de la mâchoire ont cessé de croître, ce qui rend le traitement orthodontique légèrement plus difficile. Les tissus sont plus rigides, ce qui nécessite souvent des forces plus douces mais appliquées sur une période plus longue. En outre, les adultes peuvent présenter des complications liées à des années de déplacement dentaire non traité, telles que l’érosion dentaire, la récession gingivale, ou même la perte osseuse périodontale. Ces termes désignent respectivement la perte progressive de l’émail des dents, le retrait des gencives et la perte de l’os soutenant les dents, qui peuvent influer sur les options et la durée du traitement orthodontique.
Pour ces raisons, les plans de traitement chez l’adulte doivent être méticuleusement personnalisés, souvent avec l’intégration de plusieurs spécialités dentaires pour adresser tous les aspects de la santé bucco-dentaire du patient. La technologie assistée par ordinateur, comme la tomographie volumétrique à faisceau conique (CBCT), est fréquemment utilisée pour obtenir des images précises en 3D de la structure dentaire et osseuse, permettant ainsi des interventions plus ciblées et efficaces.
Quelles sont les appareils dentaires disponibles pour les adultes ?
1. Brackets métalliques
2. Brackets en céramique
3. Appareils linguaux
4. Aligneurs transparents
5. Appareils orthopédiques fonctionnels
Guide comparatif des solutions orthodontiques pour adultes par Yoan Benisty
| Type d’appareil | Visibilité | Confort | Coût | Amovibilité | Efficacité |
|---|---|---|---|---|---|
| Brackets métalliques | 👀 Élevée | 😐 Moyen | 💲 Moyen | ❌ Non | 🏆 Élevée |
| Brackets en céramique | 👀 Modérée | 😐 Moyen | 💲💲 Élevé | ❌ Non | 🏆 Élevée |
| Appareils linguaux | 🙈 Invisible | 😣 Faible | 💲💲💲 Très élevé | ❌ Non | 🏆 Élevée |
| Aligneurs transparents | 🙈 Invisible | 😊 Élevé | 💲💲 Élevé | ✅ Oui | 🎯 Bonne |
| Appareils orthopédiques | 👀 Variable | 😐 Moyen | 💲💲 Variable | ✅ Oui | 🏆 Variable |
Qu’est-ce qu’un appareil dentaire ?
Selon les objectifs à atteindre et les problèmes de dentition à traiter, il existe différents types d’appareils dentaires, chacun adapté à des situations spécifiques :
Implant dentaire
Appareil fonctionnel
Mainteneurs d’espace
Appareil de contention
Force extra orale
Brackets en métal
Brackets en céramique
Brackets linguaux
Gouttières
Les risques de ne pas traiter ses problèmes de malocclusion à l'âge adulte
Mastication inefficace
Usure dentaire
Difficultés d’élocution et de respiration
Problèmes bucco-dentaires
Impact psychologique
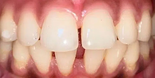
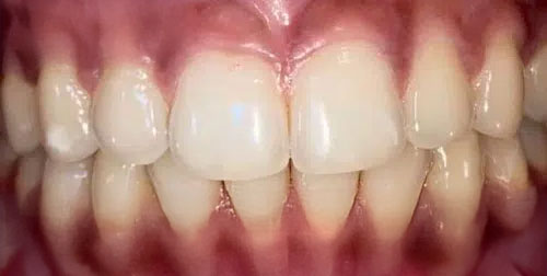
Résultats avant après de nos patients
Après le traitement, les résultats sont spectaculaires. Non seulement les dents sont alignées pour créer un sourire esthétiquement plaisant, mais les corrections apportées améliorent également les fonctions orales fondamentales et la santé générale des gencives et des dents.





